Remember the last fizzy drink you had? Did your teeth feel quite clean under your tongue? They sure did, but for the wrong reason: the acids in the drink attacked your teeth and removed tiny bits of enamel.
The chemical reaction happens pretty much straight away and dentists say you are better off rinsing your mouth with water right there and then (brushing your teeth at this stage further damages the enamel).
As a dietitian, I feel it is important not to be a ‘killjoy’. However, it occurs to me that this year alone, 1300 children, some as young as 18 months, will have to go under general anaesthetics to have some of their baby teeth pulled out at the Royal Melbourne Dental Hospital. This means some kids will go without teeth until their permanent teeth grow. This is not a fun way to go through primary school!
Look, we all know the drill, when it comes to sugars, acids and good dental hygiene! I thought it would be interesting to give you further insight on teeth from an eating and drinking point of view!
So what follows has to do with nutrients but also with the mechanical action that’s required when eating.
- Teeth and eating/drinking : a nutritional point of view.
Did you know water is the only drink your child needs?
Ok you’re a parent and some days you actually need wine, but let’s face it, for your child, water is ideal, it has a neutral pH which does not damage teeth.
Note that milk is a food babies need. Milk is a dairy product, which provides calcium for infants and children. Non dairy product need to be calcium-fortified. Calcium is required to help build strong teeth. It is also obtained by ingesting other dairy products*, as well as vegetables (leafy greens), fish (salmon, sardines) or fortified foods (soy, cereals).
Other nutrients at play, such as Proteins, Vit C, E, D, are obtained by eating a varied diet. For further info you can check this post on Australians’ nutritional deficiencies.
So healthy looking teeth are about getting the right nutrients and limiting exposure to acids and sugar (sodas are really a no go).
What are teeth for if not for biting an older brother or sister?
It turns out teeth have a job to do.
- Teeth and eating, a mechanical point of view.
The action of eating requires your baby to learn to chew and this is why you offer various foods, from the age of 6 months onwards, gradually increasing difficulties with texture: it’s a learning curve. As teeth start cutting through, chewing on a teething rusk or ‘hard munchables’ (from 8-9months) such as carrot or celery sticks (under supervision) help relieve babies and further strengthen chewing capacity. Up to 9 months chewing is in an up and down motion, then babies start moving food laterally, then diagonally. Always observe that your child is progressing his skills, ask your GP, if you think progress is lacking.
As always with eating, make sure your baby is seated upright, secured and supervised.
From now on your child is developing their chewing and biting skills. Your child needs the opportunity to progress textures, make sure you serve small portions, give finger food, and show your kids how it is done! Eat in front of them, explain what you do. By the way this will slow you down too. It’s great for all of us to learn -relearn to eat slowly, to chew and appreciate our food!
Now the more chewing, the more saliva, the more protection for teeth.
Chewing and biting, in other words giving teeth a workout, are also important with shaping them. Wear and tear of the first set is important in helping with the positioning of the definitive set of teeth. Think dietary choices for your older children that also require an effort: crunch this apple, bite that meat off the bone, dig in that hard cheese and thick country bread! We tend to eat way too soft foods!
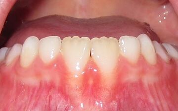
These teeth show a lack of wear and tear, whilst dentists can correct the wavy shapes on the bottom incisives (mamelons), it would have been best to give those teeth the work out they needed.

So you have it, by implementing good dietary habits, inc mechanical ones, good hygiene and applying a limit to sugary/acidic stuff early in your child’s life, you will enable them to reap the life-long reward of a healthy beautiful smile.
For further info Dental Health Service Victoria.
*dairy products (milk, cheese, yoghurt etc) have the right ratio Calcium/Phosphorus for ideal absorption. Avoid milk bottles as a settling tool as milk sugar can cause tooth decay.
#baby #healthyteeth #celerystick #carrotstick #softdrinks #fizzydrink #dentalhealthinchildren #cavities #healthysmile #teethhealth


